Close-up of a microscope with an abstract overlay of white circles in a lab setting

Interpretação das colorações

Estudos avaliaram a coloração membranosa e a porcentagem de células tumorais coradas para expressão de CLDN18.2.1,2

Nos tumores G/JGE, a CLDN18.2 é relatada como a porcentagem de células tumorais coradas com intensidade de coloração membranosa moderada a forte.1

  • Lâminas de tecido com células tumorais presentes podem demonstrar níveis variados de intensidade de coloração membranosa de CLDN 18.2, variando de nenhuma coloração a coloração forte (0 a 3+)
  • Muitos estudos incluíram porcentagem de células tumorais com coloração membranosa apenas moderada a forte (2+/3+) para pontuação de CLDN18.2
  • Explica a necrose tumoral durante a interpretação

 

stain-interpretation

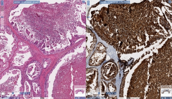
Coloração H&E e IHC correspondente de necrose tumoral gástrica (ampliação 10x)

overlayvideoimage
play-icon

stain-interpretation

stain-interpretation

closeicon
volumeicon

stain-interpretation

closeicon

stain-interpretation

Como interpretar a CLDN18.2

Josef H. Rüschoff, MD

Clique para visualizar o quiz e galeria da coloração

Grey circles on light background

Ao relatar a expressão de CLDN18.2, devem ser incluídas tanto a intensidade da coloração quanto a porcentagem de células tumorais coradas.1

Referências: 1. Pellino A, Brignola S, Riello E, et al. Association of CLDN18 protein expression with clinicopathological features and prognosis in advanced gastric and gastroesophageal junction adenocarcinomas. J Pers Med (Epub) 10-26-2021. 2. Rohde C, Yamaguchi R, Mukhina S, et al. Comparison of Claudin 18.2 expression in primary tumors and lymph node metastases in Japanese patients with gastric adenocarcinoma. Jpn J Clin Oncol 2019;49(9):870-6.